Cabinet dentaire du Dr Shirel Ksstentini
Orthodontie
7 rue Hippolyte Maze, 78220 Viroflay
01 88 81 21 26

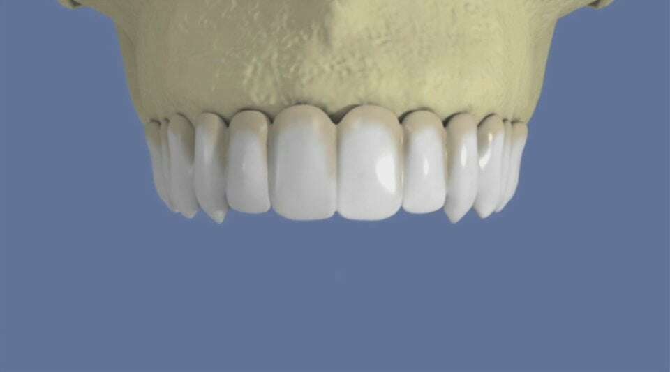
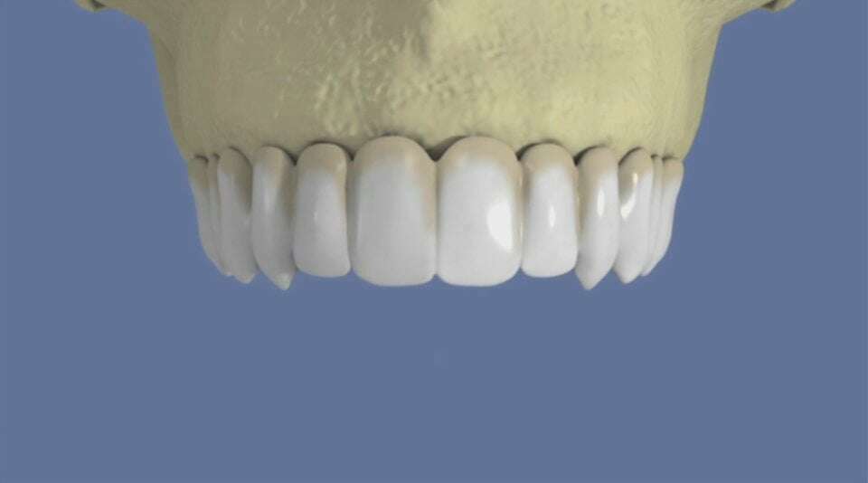
Maxillaire : bridge vissé sans fausse gencive

video-play-icon

Articles similaires

Derniers articles

Appareil herbst

Appareil herbst

13 Nov 2024
Coûts et prise en charge

Coûts et prise en charge

04 Nov 2024

Le tarif des traitements orthodontiques est libre. Le coût d’un traitement varie selon la pathologie, le type d'appareil et l'âge du patient.

Orthodontie : que faire en cas d'incident ?

Orthodontie : que faire en cas d'incident ?

04 Nov 2024

Les patients sont parfois confrontés à différents problèmes, inconfort, gêne, difficulté d’adaptation... Comment y remédier ?

Catégories